top of page
Knieexperte

Redner
TOPICS
SPEZIALGEBIETE
HIGHLIGHTS
.jpg)
Bandverletzungen - Kreuzband
.jpg)
Meniskus

Patella - Kniescheibe
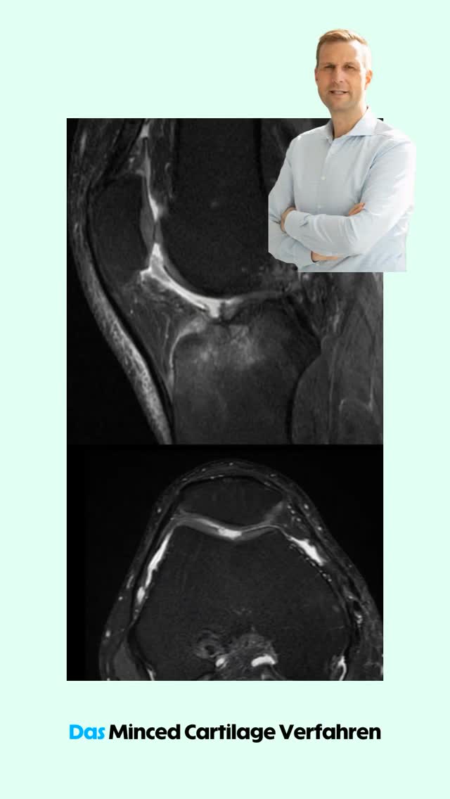
Knorpel - Gelenkerhalt- Arthrose
Anker 1

Upcoming
Meetings &
Conferences

Mar 28, 2025
Unfallmedizinische Tagung der BGU Düsseldorf
Mai 1-3, 2025
Jahrestagung Süddeutscher Orthopäden
Mai 9, 2025
Berliner Knorpelsymposium
























































.jpg)
